Werferschulter / Sportlerschulter
Akutversorgung & Nachbehandlung
ÜBERSICHT
Wie entsteht eine Werferschulter / Sportlerschulter ?
Überkopf und Wurfsportarten (wie z. B. Volleyball, Baseball, Tennis,…) gehen aufgrund des spezifischen Bewegungsmusters mit einer hohen Belastung des Schultergelenks einher. Eine effektive Wurftechnik erfordert ein seitliches Abheben des Armes und eine extreme Aussenrotationsbewegung des Schultergelenks, welche in einer permanenten Überlastung der kapsulären sowie muskulären Strukturen resultiert.
Bei länger anhaltenden Belastungsintensitäten dieser Art, über mehrere Jahre, profitiert der Patient von einer gesteigerten Außenrotation, bei gleichzeitig reduzierter Innenrotationsfähigkeit. Es resultiert eine Überdehnung der vorderen Schulterkapsel und eine geschrumpfte hintere Kapsel. Dies ist das Vollbild des sogenannten GIRD-Syndroms (Glenohumeral Internal Rotation Defizit).
Wird trotz Warnzeichen weitertrainiert treten Schmerzen auf und man spricht von einem „Dead arm“-Syndrom“ (Schmerzen beim Werfen, Unsicherheit, verminderte Wurfgkraft- und Geschwindigkeit). Man spricht jetzt von der sog. „Werferschulter“ oder „Sportlerschulter“. Bei Tennis- und Volleyballspielern treten die Schmerzen meist beim Service auf d.h. wenn der Schläger den Ball berührt bzw. die Hand den Volleyball.
Mögliche Verletzungen sind:
- Das innere „Impingement“ (=Einklemmung) im Bereich der hinteren-oberen Gelenkspfanne und zu einer möglichen Ablösung des Bizepssehnenankers (SLAP).
- Teileinrisse der Rotatorenmanschette, „PASTA Läsion“ (partial articular supraspinatus tendon avulsion), Schäden am Anker der langen Bizepssehne, SLAP Läsion (=superiores Labrum von anterior nach posterior) d.h. am Oberrand der Schulterpfanne.
- Überlastungen der Bizepssehne mit daraus resultierender Bizepssehnensyndrom. Dies ist eine Art Sehnenscheidenentzündung am vorderen Anteil der Schulter
Wie wird eine Werferschulter / Sportlerschulter therapiert?
In der Frühphase kann die Werferschulter sehr gut mit Dehnungsübungen der hinteren Schulterkapsel, sowie Kräftigungsübungen der Außenrotatoren, welche meist schwächer ausgeprägt sind, therapiert werden.
Wesentlich ist auch die sportartspezifische Schulung der Aushohlbewegung, oder Servicebewegung, um im Verlauf strukturellen Schäden abwenden.
Im fortgeschrittenen Stadion sieht man sich meist schon mit strukturellen Abnützungen konfrontiert. Wenn der Leidensdruck steigt und die Physiotherapie nicht den gewohnten Effekt bringt bleibt oft nur noch die Gelenkspiegelung (Schulterarthroskopie)
Was wird bei einer Operation gemacht?
Dies hängen im Wesentlichen von den vorhandenen Schulterbinnenschäden ab:
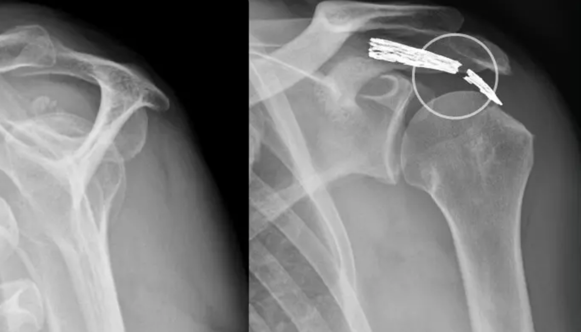
- SLAP Läsion: Je nach Ausmaß der Verletzung wird der Bizepsanker entweder geglättet oder mit einer Naht wieder an der ursprünglichen Position fixiert.
- Traumatische Rotatorenmanschettenrisse beim jungen Sportler und in der Altersgruppe unter 40 Jahren gehören zügig operativ versorgt.
- Teilrisse der Rotatorenmanschette, PASTA Läsionen können entweder, mit gutem Erfolg, geglättet oder ebenso genäht.
- Liegt eine zusätzliche Schulterinstabilität, mit Ablösung des vorderen Labrum vor, führt man vorne unten eine Kapselraffung durch. D.h. man verkleinert durch meist 2-3 endoskopische (=Schlüssellochtechnik) Nähte die ausgeweitete vordere, untere Schulterkapsel.